ホワイトシカ
ホワイト歯科
「チームワークの良さとわかりやすい説明」をモットーに患者さんをお迎えいたします。
病院・医療
- 歯科
- エリア
- 北海道名寄市
- 最寄り駅
- JR宗谷本線 名寄駅 から徒歩3分
~ ごあいさつ ~
当医院は、虫歯、歯周病の治療はもちろん、小児歯科、歯科口腔外科、インプラント治療から審美歯科まで患者さんのニーズに合わせた治療を行っております。また、患者さん一人一人にしっかりとお時間をかけて治療しております。広々とした専用駐車場も完備しております。西條デパートさん、名よせ通り商店街さん、JR名寄駅に近接しており、アクセスしやすい立地条件です。
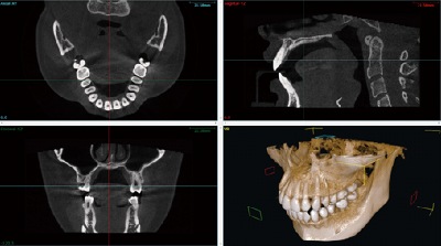
医院概要:ホワイト歯科は2007年9月より私、森 康仙が診療を行っております。明るい笑顔と、わかりやすい説明で患者さんをお迎えする病院です。皆様が安心して治療が受けられるよう、院内は感染予防にも努め、機械や器具の消毒、医療スタッフの手洗いには「ハイクロソフト酸性水システム」を利用した殺菌水を使用。 当医院ではオルソパントモ、デンタルX線のデジタル化が完了いたしました。デジタル式はフィルム式と比べて被爆量が少ないので女性の方やお子様など安心して撮影することが出来ます。 また、フィルムや現像液、洗浄液、定着液を使用しませんので地球エコ、環境にも優しいという利点があります。デジタル撮影は現像処理がないため撮影後すぐにモニターで見られるので患者さんの待ち時間の減少がかなり期待できます。
エプロンやコップは、地球エコの観点よりH21年1月よりディスポを廃止し滅菌した物を使用しております。
当医院では、患者さんの一番解決したい問題点を把握し、治療方法や使用する材料などの情報を提供し、患者さんと私どもがお互いに納得できる治療を心がけています。また、医院内の季節の飾り付けにも気を使っておりますので、お気軽にご来院ください。
医院概要:ホワイト歯科は2007年9月より私、森 康仙が診療を行っております。明るい笑顔と、わかりやすい説明で患者さんをお迎えする病院です。皆様が安心して治療が受けられるよう、院内は感染予防にも努め、機械や器具の消毒、医療スタッフの手洗いには「ハイクロソフト酸性水システム」を利用した殺菌水を使用。 当医院ではオルソパントモ、デンタルX線のデジタル化が完了いたしました。デジタル式はフィルム式と比べて被爆量が少ないので女性の方やお子様など安心して撮影することが出来ます。 また、フィルムや現像液、洗浄液、定着液を使用しませんので地球エコ、環境にも優しいという利点があります。デジタル撮影は現像処理がないため撮影後すぐにモニターで見られるので患者さんの待ち時間の減少がかなり期待できます。
エプロンやコップは、地球エコの観点よりH21年1月よりディスポを廃止し滅菌した物を使用しております。
当医院では、患者さんの一番解決したい問題点を把握し、治療方法や使用する材料などの情報を提供し、患者さんと私どもがお互いに納得できる治療を心がけています。また、医院内の季節の飾り付けにも気を使っておりますので、お気軽にご来院ください。
ホワイト歯科ご利用にあたって
・当医院では治療から予防に診療をシフトしております
・お口の中の些細な変化もご相談いただければ検査いたします
・虫歯・歯周病は予防法が確立された病気です。当院では症状を軽症のうちに治療・完治するお手伝いをしております。
・妊娠期からこれから生まれてくるであろうお子さんの虫歯・歯周病になるリスクを軽減させるお手伝いをしております
・子供の時期から虫歯・歯肉・歯列・顔貌を一貫して管理するとともに食育を通じてお子様がよりよく成長するお手伝いをしております
・金属アレルギー等の観点より自費・保険にかかわらずできる限りメタルフリーの治療方針をお勧めしております
・お口の中の些細な変化もご相談いただければ検査いたします
・虫歯・歯周病は予防法が確立された病気です。当院では症状を軽症のうちに治療・完治するお手伝いをしております。
・妊娠期からこれから生まれてくるであろうお子さんの虫歯・歯周病になるリスクを軽減させるお手伝いをしております
・子供の時期から虫歯・歯肉・歯列・顔貌を一貫して管理するとともに食育を通じてお子様がよりよく成長するお手伝いをしております
・金属アレルギー等の観点より自費・保険にかかわらずできる限りメタルフリーの治療方針をお勧めしております
ホワイト歯科の基本情報
| スポット名 | ホワイト歯科 |
|---|---|
| TEL |
01654-2-2576 0120-746-418 |
| 住所 |
〒096-0012 北海道名寄市西二条南8丁目12-1 |
| 営業日 |
|
| blog | http://ameblo.jp/whitepuricoco |
| 駐車場 | あり 線用駐車場10台 |



